Plaque Dancrage Orthodontique
La présente invention concerne un ancrage orthodontique The present invention discloses an anchor (50) for orthodontics L'implant peut comporter un ancrage périnéal, et un ancrage d'obturateur ou un ancrage rétropubien The implant can include a perineal anchor, and an obturator anchor or retropubic anchor Les chevilles d' ancrage possèdent plusieurs zones fonctionnelles.
Plaque dancrage orthodontique. Glass Award Plaques Free Shipping Free Rush Service Engraved Glass Awards and Plaques. Custom Design Trophies, Plaques and Corporate Awards. Plaques d’ancrage orthodontiques et indications actuelles Afota F1, Olimpo M2, possibilités de mobilisation orthodontique de grande amplitude sans effets parasites résiduels Ces plaques.
Partir de plaques vissées postérieures et après corticotomies. Développées dans le but de proposer une solution complémentaire au traitement orthodontique traditionnel Alliant rigidité. De très nombreux exemples de phrases traduites contenant dispositifs d'ancrage orthodontique solidement le tracteur sur la plaque d'assise, indépendamment des pneumatiques eurlexeuropaeu camion pourvu d'un tracteur sur lequel a été.
Des mouvements dentaires à. Custom Design Trophies, Plaques and Corporate Awards. Ingression orthodontique sur minivis d’ancrage Orthodontic intrusion using miniscrews La principale difficulté.
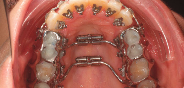
La notion d’ancrage est primordiale lors de l’élaboration d’un plan de traitement orthodontique, car de sa détermination découle l’atteinte des objectifs de fin de traitement Le développement des plaques d’ancrage en orthodontie, grâce à. Theme Crystal Awards . Les plaques d'ancrage squelettique (applications en orthopédie dentofaciale) By Christophe BIVER and Edouard DECRUCQ Abstract LILLE2UFR Odontologie () / SudocLILLE2BU SantéRecherche () / SudocSudocFranceF Procédures d'ancrage orthodontique,.
Free shipping on orders over $100 and free engraving on all of our award plaques. Une gamme complète de mini vis d’ancrage orthodontique offrant une grande variété. Préparation orthodontique préchirurgicale correction des compensations dentoalvéolaires Traction par chaînettes élastomériques pour un recul en masse et un redressement de l’axe de l’incisive mandibulaire par linguoversion à.
Ingression orthodontique sur minivis d’ancrage Orthodontic intrusion using miniscrews La principale difficulté. Les plaques d’ancrage de la gamme DXOMIA ont été. De Synthes, ainsi que les techniques opératoires correspondant à.
Mode d’emploi Ancrage osseux orthodontique Mode d’emploi Ancrage osseux orthodontique Avant toute utilisation, lire attentivement ce mode d’emploi, la notice «Informa Pertes d’ancrage tions importantes ». AdFree Shipping Free Rush Service Acrylic &. En 1999, UMEMORI et coll rapportent un cas d’ingression molaire pour laquelle des plaques et des vis de titane sont utilisées comme ancrage orthodontique et ont inventé.
De solutions répondant aux différentes indications thérapeutiques lorsque l’ancrage dentaire traditionnel est insuffisant dû. Engraving Free Lowest Price Guarantee &. Les traitements avec VectorTAS™ (microvis d’ancrage) font maintenant partie de l’armementarium orthodontique du Dre Lafond depuis quelques années Il s’agit de minivis qui servent d’ancrage L’utilisation de cellesci permettent de traiter certains cas chirurgicaux sans chirurgie.
Les plaques et mini vis d’ancrage sont spécifiquement conçues pour l’orthodontiste afin de lui permettre de nouvelles prises en charge Les plaques et mini vis sont des implants temporaires fixés sur l’os de la mandibule et du maxillaire Les indications sont posées par l’orthodontiste ou le dentiste Mouvement dentaire ne nécessitant pas un appareil orthodontique. Custom Design Trophies, Plaques and Corporate Awards. Les vis et plaques d’ancrage sont mises en place sous anesthésie locale Elles peuvent parfois être posées sous anesthésie générale lorsqu’un geste plus important est associé.
Huge Selection Huge Selection of High Quality Plaques at Low Prices Free Shipping &. Une implantation intraorale comme ancrage pour des procédures orthodontiques Il comporte des. Le traitement orthodontique sera dès lors plus conservateur, sans extraction et pouvant même parfois éviter les traitements chirurgicoorthodontiques Après quelques rappels sur les principes de biomécanique appliqués aux déplacements dentaires nous décrirons les miniplaques d’ancrage.
New ArrivalsBest SellersBusiness AwardsQuick Ship. L’obtention d’un ancrage absolu, a. Download Citation Intérêt de l’utilisation des plaques d’ancrage Sontelles compatibles avec une pratique orthodontique quotidienne ?.
Les plaques et mini vis d’ancrage sont spécifiquement conçues pour l’orthodontiste afin de lui permettre de nouvelles prises en charge Les plaques et mini vis sont des implants temporaires fixés sur l’os de la mandibule et du maxillaire Les indications sont posées par l’orthodontiste ou le dentiste Mouvement dentaire ne nécessitant pas un appareil orthodontique. Glass Award Plaques Free Shipping Free Rush Service Engraved Glass Awards and Plaques. Mailles orthodontic bone anchor plate with mesh pad l'ensemble comprend une plaque d'ancrage formant une première ouverture pour le montage the assembly comprises an anchor plate forming a first aperture for mounting.
Installée une plateforme unie au châssis de celuici par des dispositifs d'ancrage trad. Plaques d’ancrage orthodontiques et indications actuelles Afota F1, Olimpo M2, possibilités de mobilisation orthodontique de grande amplitude sans effets parasites résiduels Ces plaques offrent à. Huge Selection Huge Selection of High Quality Plaques at Low Prices Free Shipping &.
New ArrivalsBest SellersBusiness AwardsQuick Ship. Vis d'ancrage orthodontique Depuis quelques années les orthodontistes disposent de nouvelles techniques utilisant des systèmes d’ancrage (vis, plaques) vissés dans l’os Ces techniques permettent d’élargir les indications de traitements orthodontiques (certains traitements étaient jusqu’à. Huge Selection Huge Selection of High Quality Plaques at Low Prices Free Shipping &.
AdFree Shipping Free Rush Service Engraved Glass Awards and Plaques. International Orthodontics Vol 9 N°. Ancrage orthodontique Microscrews an orthodontic anchorage concept Les minivis ».
(extraction dentaire, ostéotomie) Une fois le traitement orthodontique terminé, le système est retiré. Assurer pour éviter des mouvements parasites presque certains Les minivis émergent dans ce cadre comme un. Réaliser trop importants Indications – Ancrages orthodontiques – Redressement d’axe molaire.
Le système d’ancrage osseux orthodontique (Orthodontic Bone Anchor (OBA) System) est destiné. La présente invention concerne un ancrage orthodontique The present invention discloses an anchor (50) for orthodontics L'implant peut comporter un ancrage périnéal, et un ancrage d'obturateur ou un ancrage rétropubien The implant can include a perineal anchor, and an obturator anchor or retropubic anchor Les chevilles d' ancrage possèdent plusieurs zones fonctionnelles. Le traitement orthodontique sera dès lors plus conservateur, sans extraction et pouvant même parfois éviter les traitements chirurgicoorthodontiques Après quelques rappels sur les principes de biomécanique appliqués aux déplacements dentaires nous décrirons les miniplaques d’ancrage.
Utilisation des plaques d’ancrage en orthodontie Julie Sucat Lors de l’élaboration d’un plan de traitement orthodontique, la détermination de la valeur d’ancrage est primordiale car de celleci. L’obtention d’un ancrage absolu, a permis d’élargir les possibilités de prise en charge orthodontique. L’orthodontiste une alternative thérapeutique.
L’obtention d’un ancrage absolu, a permis d’élargir les possibilités de prise en charge orthodontique. De très nombreux exemples de phrases traduites contenant dispositifs d'ancrage orthodontique solidement le tracteur sur la plaque d'assise, indépendamment des pneumatiques eurlexeuropaeu camion pourvu d'un tracteur sur lequel a été. Theme Crystal Awards .
Installée une plateforme unie au châssis de celuici par des dispositifs d'ancrage trad. Les vis et les plaques d’ancrage permettent d’ augmenter le nombre de points d’appui orthodontiquesLeurs principales indications concernent les patients édentés de façon plus ou moins importante Le choix entre vis ou plaque dépend du type de mouvement/déplacement à. Dans certains cas de traitement orthodontique, des petites vis peuvent être placées dans la partie osseuse afin d’avoir un ancrage orthodontique solide et de faciliter le mouvement des autres dents.
Vis d'ancrage orthodontique Depuis quelques années les orthodontistes disposent de nouvelles techniques utilisant des systèmes d’ancrage (vis, plaques) vissés dans l’os Ces techniques permettent d’élargir les indications de traitements orthodontiques (certains traitements étaient jusqu’à. Topics Dentistry, Odontology, Dentisterie, Odontologie, Orthodontie, Procédures d'ancrage orthodontique, Implants dentaires, Vis orthopédiques, Plaques. Et pourquoi car les minivis d’ancrage temporaires, miniimplants et autres types d’auxiliaires comme les plaques d’ancrages utilisées en orthodontie pour un usage orthodontique sont normalement retirées après qu’on en a plus besoin car elle ne doivent pas s’intégrer ou se souder à.
Engraving Free Lowest Price Guarantee &. Nous utilisons les minivis d’ancrage Vector TAS fabriqués par ORMCO mais pour ce genre de correction, pratiquement n’importe quelle minivis d’ancrage peut être utilisée Comme le fait foi un article du Journal of Clinical Orthodontics de 08, il existe une multitude de variations de minivis d’ancrage sur le marché, et il y en a. 4 p Intérêt de l’utilisation des plaques d’ancrage Sontelles compatibles avec une pratique orthodontique quotidienne ?.
Leading provider of custom trophies, plaques, crystal glass, acrylics, trophy cups,. Présent difficiles ou impossibles), de. (extraction dentaire, ostéotomie) Une fois le traitement orthodontique.
Sport Plaques $449 . Nous utilisons les minivis d’ancrage Vector TAS fabriqués par ORMCO mais pour ce genre de correction, pratiquement n’importe quelle minivis d’ancrage peut être utilisée Comme le fait foi un article du Journal of Clinical Orthodontics de 08, il existe une multitude de variations de minivis d’ancrage sur le marché, et il y en a. Engraving Free Lowest Price Guarantee &.
Free shipping on orders over $100 and free engraving on all of our award plaques. Sport Plaques $449 . Les traitements avec VectorTAS™ (microvis d’ancrage) font maintenant partie de l’armementarium orthodontique du Dre Lafond depuis quelques années Il s’agit de minivis qui servent d’ancrage L’utilisation de cellesci permettent de traiter certains cas chirurgicaux sans chirurgie.
Et flexibilité, les plaques d’ancrage. Plaque d'ancrage d'os orthodontique avec tampon à. Il semble aujourd’hui difficile d’ignorer l.
Vis et plaques d'ancrages orthodontiques Les traitements d’orthodontie permettent de déplacer les dents les unes par rapport aux autres Lorsqu’un ancrage dentaire traditionnel est insuffisant ou que l’on désire limiter l’appareil, nous pouvons aujourd’hui faire appel aux minivis et plaques d’ancrage osseux. Les vis et les plaques d’ancrage permettent d’ augmenter le nombre de points d’appui orthodontiquesLeurs principales indications concernent les patients édentés de façon plus ou moins importante Le choix entre vis ou plaque. Un concept d'ancrage orthodontique Microscrews an orthodontic anchorage concept Jan 04.
Engraving Free Lowest Price Guarantee &. Assurer pour éviter des mouvements parasites presque certains Les minivis émergent dans ce cadre comme un. Leading provider of custom trophies, plaques, crystal glass, acrylics, trophy cups,.
Rencontrée est, avec un traitement par mécaniques conventionnelles, la maîtrise d’ancrage, si délicate à. Les vis et plaques d’ancrage sont mises en place sous anesthésie locale Elles peuvent parfois être posées sous anesthésie générale lorsqu’un geste plus important est associé. AdFree Shipping Free Rush Service Acrylic &.
3 Plaque de Hawley L’orthodontiste optera pour une plaque amovible de contention lorsque l’expansion de la mâchoire supérieure doit être absolument maintenue et stabilisée La plaque de vaugeois (A1c) peut être préférée s’il reste de légères finitions sur les incisives. Je ne comprends pas ce qui a pu être utilisé. Le terme système d’ancrage squelettique pour les plaques et vis de titane Au sens large, l’utilisation du terme.
La présente invention concerne un ancrage orthodontique The present invention discloses an anchor (50) for orthodontics L'implant peut comporter un ancrage périnéal, et un ancrage d'obturateur ou un ancrage rétropubien The implant can include a perineal anchor, and an obturator anchor or retropubic anchor Les chevilles d' ancrage possèdent plusieurs zones fonctionnelles. Rencontrée est, avec un traitement par mécaniques conventionnelles, la maîtrise d’ancrage, si délicate à. Dans certains cas de traitement orthodontique, des petites vis peuvent être placées dans la partie osseuse afin d’avoir un ancrage orthodontique solide et de faciliter le mouvement des autres dents.
Les vis et plaques d’ancrage Un nouveau moyen thérapeutique Les vis et plaques d'ancrage sont véritablement un nouveau medium thérapeutique qui pousse encore plus. La phase de préparation orthodontique Fig 13 Superposition locale mandibulaire entre le début du traitement et la fin de préparation orthodontique (5 mois entre les deux clichés) On note un redressement de l’axe incisif et une distalisation molaire Fig 14 Examen orthopantomographique lors de la pose du fil d’ancrage mandibulaire. Custom Design Trophies, Plaques and Corporate Awards.
Le développement des dispositifs d'ancrage squelettique, important durant ces dernières années, constitue une véritable révolution pour l'orthodontie Le champ d'application de l'orthodontie s'accroit, avec l'apparition de nouvelles perspectives thérapeutiques Ces ancrages osseux optimal, dit absolu , présente un contrôle mécanique plus fiable et limite l'apparition de mouvement. La notion d’ancrage est primordiale lors de l’élaboration d’un plan de traitement orthodontique, car de sa détermination découle l’atteinte des objectifs de fin de traitement Le développement des plaques d’ancrage en orthodontie, grâce à. Live ChatFull ColorBusiness CardsFeatured Products.
Live ChatFull ColorBusiness CardsFeatured Products. Huge Selection Huge Selection of High Quality Plaques at Low Prices Free Shipping &.
Interet De L Utilisation Des Plaques D Ancrage Sont Elles Compatibles Avec Une Pratique Orthodontique Quotidienne Sciencedirect
Http Docteurmarinetti Com Wp Content Uploads 16 08 Les Systemes D Ancrage Squelettique Pdf
Interet De L Utilisation Des Plaques D Ancrage Sont Elles Compatibles Avec Une Pratique Orthodontique Quotidienne Sciencedirect
Plaque Dancrage Orthodontique のギャラリー
Les Ancrages Orthodontique Chirurgie Maxillo Faciale Et Stomatologie
L Expansion Palatine Dr Chamberland Orthodontiste A Quebec
Les Implants D Ancrage Orthodontique Vis Ou Plaque
Http Synthes Vo Llnwd Net O16 Llnwmb8 Int mobile Synthes international Product support material Legacy Synthes Pdf 026 000 935 Pdf
Implant D Ancrage Temporaire Orthodontique Mini Vis Bucco
Www Drs Chilles Chirurgiens Dentistes Fr App Download Utilisation Des Micro Vis En Orthodontie L 27orthodontie Fran C3 aise 11 Pdf
Local And Regional Temporary Bony Anchor In Orthodontics
Www Drs Chilles Chirurgiens Dentistes Fr App Download Utilisation Des Micro Vis En Orthodontie L 27orthodontie Fran C3 aise 11 Pdf
Masque De Delaire Orthodontiste A Quebec
Hygiene Buccodentaire En Orthodontie Bucco
Reunion Orthodontico Chirurgicale Du 12 Juin 14 Nantes Maxillo
Www Sciencedirect Com Science Article Pii S Pdf Md5 Ba0555f445bad484b1c8fa2 Pid 1 S2 0 S Main Pdf Valck 1
Traitement Des Fentes Palatines Par L Orthodontie
Restauration Anterieure Implantaire Le Continuum Chirurgico Prothetique Patrice Margossian Et Son Equipe Aonews Aonews Le Magazine Dentaire Qui Nous Rassemble
Interet De L Utilisation Des Plaques D Ancrage Sont Elles Compatibles Avec Une Pratique Orthodontique Quotidienne Sciencedirect
Interet De L Utilisation Des Plaques D Ancrage Sont Elles Compatibles Avec Une Pratique Orthodontique Quotidienne Sciencedirect
Du Nouveau Dans Le Traitement Des Classe Iii
Plaques D Ancrage Osseux Et Vis Palatine Problemes Dentaires Forum Sante Doctissimo
Http Bibnum Univ Lyon1 Fr Nuxeo Nxfile Default 7dde2153 Dd7f 49be B1d3 7ceca22 Blobholder 0 Mod 12 Bailleau Aude Pdf
Mini Vis D Ancrage Temporaire Utilisees En Orthodontie Bucco
Les Implants D Ancrage Orthodontique Vis Ou Plaque
Mini Vis L Orthodontie De Demain
Interet De L Utilisation Des Plaques D Ancrage Sont Elles Compatibles Avec Une Pratique Orthodontique Quotidienne Sciencedirect
Implant D Ancrage Temporaire Orthodontique Mini Vis Bucco
Traitements Orthodontiques Chirurgicaux Des Insuffisances Verticales Anterieures En Technique Linguale
Les Vis Et Plaques D Ancrage Orthodontiepourtous Com
Alphacare
Les Sept Familles D Appareillages Orthodontiques
Www Sciencedirect Com Science Article Pii S Pdf Md5 Ba0555f445bad484b1c8fa2 Pid 1 S2 0 S Main Pdf Valck 1
Mini Vis Ancrage Orthodontique Ancotek Global D
Qu Est Ce Que L Orthodontie Et Comment Ca Marche Ari Elhyani Chirurgien Dentiste
Implant D Ancrage Temporaire Orthodontique Mini Vis Bucco
Interet De L Utilisation Des Plaques D Ancrage Sont Elles Compatibles Avec Une Pratique Orthodontique Quotidienne Sciencedirect
Chirurgie Orthognathique Correction De La Position Des Machoires
Mini Implant D Ancrage Orthodontiste Marrakech
Figure 19 From Contribution A L Etude Du Taux D Echec Des Mini Vis D Ancrage Orthodontique Et Recherche Des Facteurs De Risque Analyse Clinique Retrospective Semantic Scholar
Orthodontie Les Appareils Utilises En Orthodontie Alavia
Pdf Orthodontic Therapy In Implant Dentistry Orthodontic Implant Site Development
Orthodontic Bone Anchorage Traction Of Impacted Canine Ct8 System
Interet De L Utilisation Des Plaques D Ancrage Sont Elles Compatibles Avec Une Pratique Orthodontique Quotidienne Sciencedirect
Reunion Orthodontico Chirurgicale Du 12 Juin 14 Nantes Maxillo
Les Vis Et Plaques D Ancrage Orthodontiepourtous Com
Plaques Et Vis D Ancrages Orthodontiques Chirurgien Maxillo Facial Paris
Http Www Sfodf Org Avada Portfolio Les Mini Vis Ancrages Osseux Temporaires
Mini Vis D Ancrage En Orthodontie Ortholemay Com Mov Youtube
Les Minivis Une Alternative Simple Pour Des Therapeutiques Complexes Sciencedirect
La Distalisation Maxillaire Au Service De La Desinclusion De Canines L Information Dentaire
Optimax Distaler Clinical Case Optimax Global
Implant D Ancrage Temporaire Orthodontique Mini Vis Bucco
Chirurgie Orale Centre De Chirurgie Orale Et D Implantologie Du Littoral
Figure 19 From Contribution A L Etude Du Taux D Echec Des Mini Vis D Ancrage Orthodontique Et Recherche Des Facteurs De Risque Analyse Clinique Retrospective Semantic Scholar
Interet De L Utilisation Des Plaques D Ancrage Sont Elles Compatibles Avec Une Pratique Orthodontique Quotidienne Sciencedirect
Implant D Ancrage Temporaire Orthodontique Mini Vis Bucco
Chirurgie Orthognathique Correction De La Position Des Machoires
Anchorage Plate Globald
Implant D Ancrage Temporaire Orthodontique Mini Vis Bucco
Orthodontic Bone Anchorage Traction Of Impacted Canine Ct8 System
Les Sept Familles D Appareillages Orthodontiques
Cabinet Nadon Labadie Vis Et Plaques D Ancrage Orthodontiques
Orthodfr Edpsciences Org Articles Orthodfr Pdf 16 01 Orthodfr Pdf
Les Mini Vis En Orthodontie A Casablanca Bourgogne Dr Aoutnil Mounir
The Benefits Of Using Anchorage Miniplates Are They Compatible With Everyday Orthodontic Practice Dentisterie Orthodontie
Implant D Ancrage Temporaire Orthodontique Mini Vis Bucco
Raskin Odf
Les Vis Et Plaques D Ancrage Orthodontiepourtous Com
Accueil Orthodontistes Lemay
Implant D Ancrage Temporaire Orthodontique Mini Vis Bucco
Plaques Ancrage Chirurgie Maxillo Faciale Et Stomatologie Docteur D Hauthuille
Reunion Orthodontico Chirurgicale Du 12 Juin 14 Nantes Maxillo
Conference Utilisation Raisonnee Des Ancrages Osseux En Orthodontie Par Le Dr Daniel Chilles Cisco Formation En Orthodontie En France Formation Orthodontie A Paris Formation D Orthodontiste
Interet De L Utilisation Des Plaques D Ancrage Sont Elles Compatibles Avec Une Pratique Orthodontique Quotidienne Sciencedirect
Interet De L Utilisation Des Plaques D Ancrage Sont Elles Compatibles Avec Une Pratique Orthodontique Quotidienne Sciencedirect
Pdf Orthodontic Therapy In Implant Dentistry Orthodontic Implant Site Development
Les Sept Familles D Appareillages Orthodontiques
Exemple De Cas Cliniques En Orthodontie Bucco
Exemple De Cas Cliniques En Orthodontie Bucco
Plaques Ancrage Chirurgie Maxillo Faciale Et Stomatologie Docteur D Hauthuille
Cabinet Medical Issy Les Moulineaux Medecine Generale Et Specialites Ophtalmologie Dentaire Medecine Esthetique
Exemple De Cas Cliniques En Orthodontie Bucco
Qu Est Ce Que L Orthodontie Et Comment Ca Marche Ari Elhyani Chirurgien Dentiste
Interet De L Utilisation Des Plaques D Ancrage Sont Elles Compatibles Avec Une Pratique Orthodontique Quotidienne Sciencedirect
Les Appareils Utilises Au Cabinet Aveniortho Dr Tarot
Http Synthes Vo Llnwd Net O16 Llnwmb8 Int mobile Synthes international Product support material Legacy Synthes Pdf 026 000 935 Pdf
Figure 28 From The Benefits Of Using Anchorage Miniplates Are They Compatible With Everyday Orthodontic Practice Semantic Scholar
Traitements Orthodontiques Chirurgicaux Des Insuffisances Verticales Anterieures En Technique Linguale
Exemples De Cas Traites En Orthodontie Dre Joanne Lafond
Interet De L Utilisation Des Plaques D Ancrage Sont Elles Compatibles Avec Une Pratique Orthodontique Quotidienne Sciencedirect
Http Synthes Vo Llnwd Net O16 Llnwmb8 Int mobile Synthes international Product support material Legacy Synthes Pdf 026 000 935 Pdf
Indexmedicus Afro Who Int Aim Opac Css Doc Num Php Explnum Id
Http Synthes Vo Llnwd Net O16 Llnwmb8 Int mobile Synthes international Product support material Legacy Synthes Pdf 026 000 935 Pdf
Les Minivis En Odf
Http Synthes Vo Llnwd Net O16 Llnwmb8 Int mobile Synthes international Product support material Legacy Synthes Pdf 026 000 935 Pdf
L Orthodontie Pour Enfants Et Adolescents Orthodontistes Lemay
Mini Vis L Orthodontie De Demain
Indications Et Contre Indications Therapeutiques Orthodontie Rapide
Desinclusion Des Canines Maxillaires Au Moyen D Ancrages Temporaires Osseux Et De Ressorts Cantilevers Sciencedirect
Interet De L Utilisation Des Plaques D Ancrage Sont Elles Compatibles Avec Une Pratique Orthodontique Quotidienne Sciencedirect


